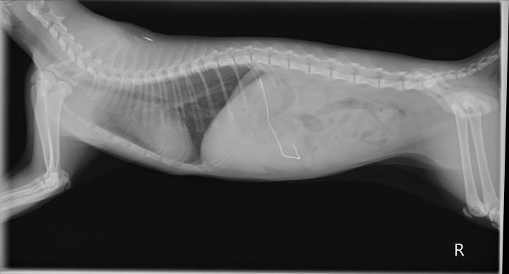
消化器疾患(異物による小腸閉塞) ふなぼり動物病院 - 猫 異物
消化器疾患(異物による小腸閉塞) ふなぼり動物病院
鈴木犬猫病院】千葉県千葉市稲毛区の動物病院です│腹腔鏡補助での胃内 
内視鏡 診療科目 国立市 ふく動物病院 ふく動物病院 国立市・府中
軟部外科 横浜山手犬猫医療センター:Yokohama Yamate DOG u0026 CAT 
獣医さんの猫がおもちゃを食べてしまった!その時にしたことは?誤飲 
嘔吐と異物のはずが その1 : 風の動物病院のブログ
猫の不調と嘔吐 20211111 : ねこかます
知多郡東浦町の動物病院、犬猫エキゾチックアニマルの診療可能もね
異物を飲み込んだ猫
猫の異物誤食(ヘアゴム)の内視鏡による摘出【動画】 千葉の志津 
Case19 内視鏡で胃内異物を摘出した猫ちゃん u2013 つつじヶ丘動物病院
深夜の誤飲 異物除去〜其の一 - 猫車さんの猫ブログ - ネコジルシ
0 Response to "消化器疾患(異物による小腸閉塞) ふなぼり動物病院 - 猫 異物"
Post a Comment